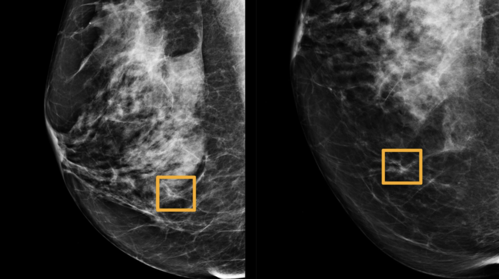
An artificial intelligence program was developed by Google that outperforms clinical specialists in detecting breast cancer in mammograms, according to researchers.

The group trained the system to determine breast cancers on over 76,000 girls in the united kingdom and over 15,000 girls in the USA.

Then they compared the performance together with the real results from a group of over 25,000 girls in the United Kingdom and more than 3,000 girls in the USA.

The research demonstrated the AI may identify cancers using a similar amount of precision to radiologists while decreasing the amount of false-positive outcomes by 1.2 percent in the UK-based group and 5.7 percent at the US-based group.

Additionally, it cut the number of false negatives, in which evaluations are classified as ordinary, by 2.7 percent in the united kingdom group and 9.4 percent in America group. These gaps reflect the ways that mammograms are read.

In the United Kingdom, the evaluations are done every 3 years, and each is read by two radiologists. In the United States, just 1 radiologist reads the results and the evaluations are completed every one or two years.

Dominic King, UK direct at Google Health, stated: “Our team is really proud of these research findings, which suggest that we are on our way to developing a tool that can help clinicians spot breast cancer with greater accuracy.

“Further testing, clinical validation and regulatory approvals are required before this could start making a difference for patients, but we’re committed to working with our partners towards this goal.”

Breast cancer is the most frequent cancer in the UK – with approximately 55,000 people diagnosed annually, according to Cancer Research UK.

Categorized in:

Tech & AI,

Last Update: February 20, 2026