U.S. government go light on regulations for AI contrasting Europe’s tougher regulations
The Trump administration rolled out new non-binding guidelines for regulating driverless cars and trucks with an aversion to "innovation-killing" mandates. This contrasts Europes tougher...
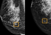
Google Health’s Artificial Intelligence better than radiologists at spotting breast cancer
An artificial intelligence program was developed by Google that outperforms clinical specialists in detecting breast cancer in mammograms, according to researchers.
The group trained the...
Google’s DeepMind found learning technique that works in human brains
DeepMind has found that a machine learning technique called distributional reinforcement learning also provides a new explanation for how the reward pathways in the...
Evolution Algorithms? Scientists create first living machine made of 100% frog DNA
Scientists used computer algorithms to mimic evolution made of 100% frog DNA. Well, it kind of evolved since it's not really a frog. Researchers...
Optical imaging and artificial intelligence are making brain tumor diagnosis quicker and more precise
https://www.youtube.com/watch?v=UZZ08_fC7UU
Neurosurgeons may leave the operating room more confident now than ever before about their patient's brain tumor analysis, thanks to integration with a new...
New Research Shows Artificial Intelligence (AI) May Replace Invasive Glucose Testing
Today, measuring blood glucose involves pricking a finger with a needle attached to a device. The blood sample is then analyzed by a continuous...
Google’s new AI models give nearly instantaneous weather forecasts
Google is now in the weather business with "nearly instantaneous" weather forecasts.
Google’s researchers say that they can generate accurate rainfall predictions up to six...
Apple Buys AI company Xnor.ai
Apple has acquired artificial intelligence company Xnor.ai. Xnor.ai build tools that help AI algorithms to run on devices rather than data centers.
Xnor.ai came...
AI that de-hazes and adds color to underwater photos
Ever seen that submerged pictures have a tendency to be blurry and somewhat twisted? That is because phenomena such as light attenuation and...
Springville Utah police consider artificial intelligence to help solve crimes
The Springville police department in Utah is considering partnering with artificial intelligence company, Banjo, to gather real-time data from various sources — 911 dispatch...














