Scientists used computer algorithms to mimic evolution made of 100% frog DNA. Well, it kind of evolved…
Google is now in the weather business with “nearly instantaneous” weather forecasts. Google’s researchers say that they…
The Springville police department in Utah is considering partnering with artificial intelligence company, Banjo, to gather real-time…
Purdue University researchers are using deep learning to design a novel approach to better understand how proteins…
The Trump administration rolled out new non-binding guidelines for regulating driverless cars and trucks with an aversion…
Samsung’s Neon people are not people, really, more like AI virtual humans. They describe the Neon technology…
Neurosurgeons may leave the operating room more confident now than ever before about their patient’s brain tumor…
The Trump administration does not want American developed artificial intelligence falling into the hands of countries like…
Chinese smartphone firm Xiaomi will invest over ¥50 billion ($7.18 billion) into artificial intelligence #AI and 5G…
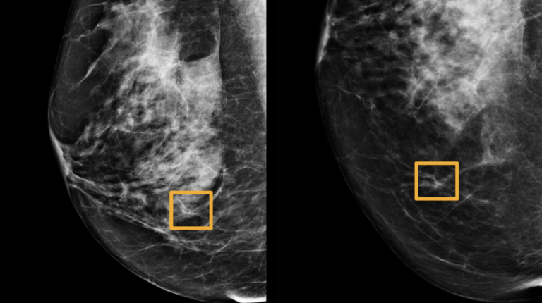
An artificial intelligence program was developed by Google that outperforms clinical specialists in detecting breast cancer in…